Пародонтоз – крадущаяся опасность

Ослабление челюстной кости, расшатывание зубов – это широко известные последствия инфекционного заболевания под названием пародонтит. К сожалению, пока не слишком известен тот факт, что влияние бактериальной инфекции не ограничивается одними лишь деснами. Посредством системы кровообращения бактерии попадают и в другие части организма, вызывая в них воспалительные процессы и способствуя возникновению общих заболеваний. Новейшие исследования отражают зависимость между пародонтитом и другими заболеваниями.

БОЛЕЗНИ СЕРДЦА И КРОВООБРАЩЕНИЯ

Доказано, что хронические инфекции в полости рта могут вызвать закупорку артерий и образование тромбов. Об этом свидетельствуют многочисленные исследования. Бактерии пародонтита способствуют возникновению в организме веществ, попадающих в кровоток. Оттуда эти вещества могут вызвать цепную реакцию, следствием которой является их отложение в стенках бактерий.  У пациентов, страдающих пародонтитом, риск возникновения сердечных заболеваний возрастает более чем в два раза. Новейшие научные исследования также свидетельствуют о повышенной опасности кровоизлияния в мозг (апоплексического удара), особенно у мужчин старше 60 лет.

ПНЕВМОНИЯ

Бактериальная пневмония возникает, прежде всего, в тех случаях, когда бактерии из полости рта и глотки вдыхаются в легкие, а иммунная система не может устранить их достаточно быстро. Некоторые исследования доказывают наличие у пациентов с пародонтитом микроорганизмов, вызывающих пневмонию. Этот факт имеет особо важное значение для пожилых, лежачих больных.

ПРЕЖДЕВРЕМЕННЫЕ РОДЫ

Исследования ученых из США свидетельствуют о том, что женщины с невылеченным пародонтитом подвержены риску преждевременных родов в семь раз чаще других. Бактерии пародонтита образуют молекулы, способные высвобождать простагландины, вызывающие родовые схватки.

ДИАБЕТ

Взаимосвязь между пародонтитом и диабетом установлена уже много лет назад. Пациенты, страдающие диабетом, подвержены более высокому риску заражения бактериальными инфекциями, в том числе и в полости рта. Новейшие исследования показывают, что пародонтит может стать причиной возникновения или ухудшения течения диабета. Пациентам с диабетом, страдающим одновременно тяжелым пародонтитом, намного сложнее добиться нормализации уровня сахара в крови.

 

 

 

 

 

 

 

 

 

 

 

 

a3-000

Уход за зубами во время беременности

a3-000

Пародонтоз и легкие/ сердце

a3-000

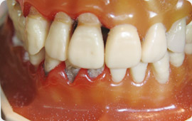
Атрофия десны вследствие ослабления кости из-за пародонтоза (модель)

a3-000

a3-000

Квалифицированные специалисты гарантируют успех лечения